CHIEF DENTIST
Degree - BDS, MDS
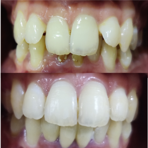
I'm Dr. Pavan T P, proud owner of Credence Dental, a leading dental clinic located in Rajarajeshwari Nagar, Bengaluru. At Credence Dental, we prioritize the well-being of our patients by maintaining a hygienic and welcoming environment. Our clinic is equipped with state-of-the-art facilities, and we pride ourselves on utilizing the latest technologies and cutting-edge equipment to deliver top-notch dental care. With a commitment to excellence, we strive to provide our patients with the best possible experience and ensure their oral health is in capable hands





I have visited the clinic for a cavity filling and wisdom tooth removal. And I’m very happy with the procedure. Excellent service and great aftercare! It’s been more than 4 years since the cavity filling and I recently got a wisdom tooth removal which seemed a bit complicated to me due to the horizontal growth of the tooth. But the whole procedure was quick and simple. There have been no problems whatsoever. Very experienced surgeons and doctors. Would recommend for kids as well.